Warum sie so wichtig ist – und wie Sie sie stärken können

Eine ausge­wo­gene Mund­flora ist ein zentraler Baustein Ihrer Mund- und Allge­mein­ge­sund­heit. Oft wird sie erst dann wahr­ge­nommen, wenn etwas aus dem Gleich­ge­wicht gerät: schlechter Atem, häufiger Belag, Entzün­dungen, wieder­keh­rende Karies oder empfind­li­ches Zahn­fleisch. Dabei ist die Mund­flora ein fein abge­stimmtes System – und genau dieses System entscheidet täglich darüber, wie gut Ihr Mund sich selbst schützen kann.

In diesem Artikel erfahren Sie,

  • was „Mund­flora“ eigent­lich bedeutet,
  • wie ein gesundes mikro­bielles Gleich­ge­wicht entsteht,
  • welche Faktoren es stören,
  • und was Sie selbst tun können, um Ihre Mund­flora lang­fristig zu stärken.
Gesunde Mundflora für Ihre Zahngesundheit
Eine gesunde Mundflora für ein strahlendes Lächeln

Was ist die Mundflora?

Die Mund­flora beschreibt die Gesamt­heit aller Mikro­or­ga­nismen im Mund­raum – haupt­säch­lich Bakte­rien, aber auch Pilze und Viren. Ein Groß­teil davon ist völlig harmlos oder sogar nütz­lich. Diese Mikro­or­ga­nismen über­nehmen wich­tige Aufgaben:

  • Schutz vor krank­ma­chenden Keimen
  • Stabi­li­sie­rung des pH-Werts
  • Unter­stüt­zung des Immunsystems
  • Mitwir­kung an Verdau­ungs­pro­zessen (z. B. Kohlenhydratabbau)

Probleme entstehen erst dann, wenn das Gleich­ge­wicht gestört ist und sich uner­wünschte Keime über­mäßig vermehren..

Wie sieht eine gesunde Mundflora aus?

Eine gesunde Mund­flora ist geprägt von Viel­falt. Das bedeutet: Viele verschie­dene Arten, die mitein­ander in Balance stehen. Typi­sche Merk­male sind:

  • ein stabiler, leicht neutraler pH-Wert
  • kaum entzün­dete oder blutende Stellen
  • frischer Atem
  • festes, rosiges Zahnfleisch
  • geringe Anfäl­lig­keit für Karies und Parodontitis

Sind diese Bedin­gungen erfüllt, funk­tio­niert der natür­liche Schutz­me­cha­nismus optimal.

Strahlendes Lächeln mit gesunder Mundflora
Blick in das Innere des Mundes

Wie kann die Mundflora aus dem Gleichgewicht geraten?

Mehrere Faktoren können das Gleich­ge­wicht empfind­lich stören:

  1. Ernäh­rung mit viel Zucker und Säuren: Zucker liefert schäd­li­chen Bakte­rien Nahrung. Diese produ­zieren Säuren, die Zahn­schmelz und Zahn­fleisch angreifen.
  2. Mund­tro­cken­heit: Spei­chel ist ein natür­li­cher Schutz­faktor. Ist er vermin­dert (durch Stress, Medi­ka­mente, wenig Trinken), vermehren sich Keime schneller.
  3. Unzu­rei­chende Mund­hy­giene: Bleibt Belag länger auf den Zähnen, steigt das Risiko für Entzün­dungen und Plaqueanhäufungen.
  4. Rauchen: Nikotin fördert Entzün­dungen und verän­dert das bakte­ri­elle Milieu deut­lich – meist zum Nachteil.
  5. Anti­bio­tika: Sie bekämpfen Bakte­rien, unter­scheiden jedoch nicht zwischen „gut“ und „schlecht“ und können so die Balance stören.
  6. Hormo­nelle Verän­de­rungen: Pubertät, Schwan­ger­schaft oder Wech­sel­jahre können das bakte­ri­elle Gleich­ge­wicht beeinflussen.

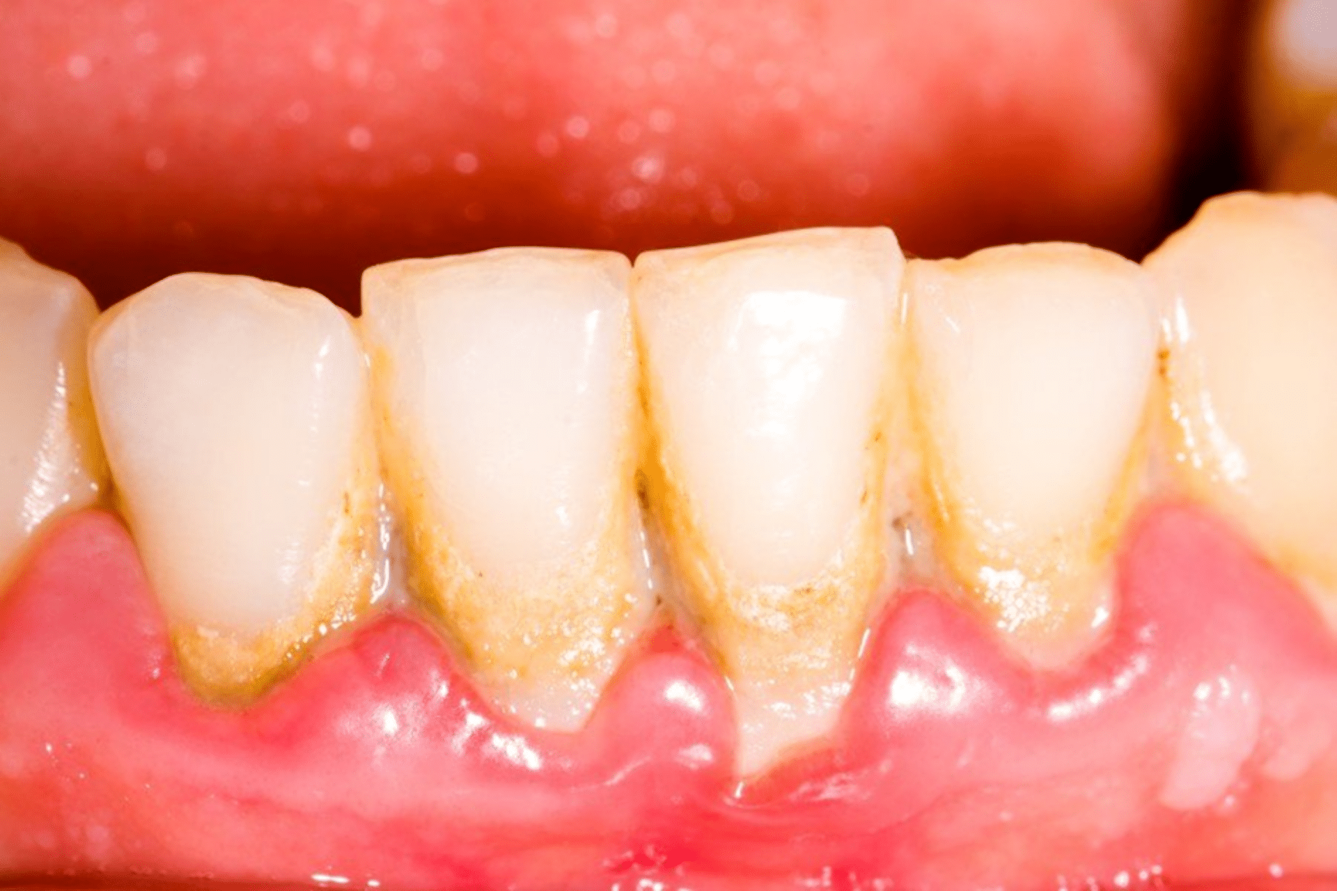
Folgen einer gestörten Mundflora

Eine Dysbiose – also ein Ungleich­ge­wicht – kann verschie­dene Probleme begünstigen:

  • Karies
  • Zahn­fleisch­ent­zün­dungen (Gingi­vitis)
  • Parodon­titis
  • Mund­ge­ruch
  • erhöhte Empfind­lich­keit der Zähne
  • Beläge und Verfärbungen
  • erhöhter Spei­chel­ein­fluss auf den pH-Wert

Lang­fristig kann eine unbe­han­delte Parodon­titis sogar Allge­mein­erkran­kungen wie Diabetes oder Herz-Kreis­lauf-Erkran­kungen beeinflussen.

Gestörte Mundflora
Zweimal täglich Zähne putzen für eine gesunde Mundflora

Wie können Sie Ihre Mundflora stärken?

Hier sind die wich­tigsten Maßnahmen, um das bakte­ri­elle Gleich­ge­wicht im Mund nach­haltig zu unterstützen:

1. Richtige Ernährung

  • weniger Zucker
  • mehr frisches Gemüse und Vollkornprodukte
  • säure­arme Getränke
  • probio­ti­sche Lebens­mittel wie Joghurt können günstig wirken

2. Konsequente Mundhygiene

  • zweimal täglich gründ­lich Zähneputzen
  • einmal täglich Zahn­zwi­schen­räume reinigen
  • regel­mä­ßiges Erneuern der Zahn­bürste (alle 6–8 Wochen)

3. Professionelle Zahnreinigung

Eine regel­mä­ßige PZR bei der MKG Hoch­rhein entfernt Beläge, die Sie zu Hause nicht erreichen.

4. Genügend Flüssigkeit

Wasser unter­stützt die Spei­chel­pro­duk­tion – eine der wich­tigsten natür­li­chen Abwehrfunktionen.

5. Rauchen reduzieren oder aufgeben

Schon wenige rauch­freie Wochen verbes­sern deut­lich die Mundgesundheit.

Professionelle Zahnreinigung
Dentalhygiene bei der MKG Hochrhein in Dogern

6. Probiotika für den Mund

Es gibt spezi­elle Präpa­rate, die das mikro­bielle Gleich­ge­wicht unter­stützen können – sinn­voll vor allem nach Anti­bio­ti­ka­the­ra­pien oder bei wieder­keh­renden Entzündungen.

7. Regelmäßige Kontrollen

Kontroll­un­ter­su­chungen ermög­li­chen es, Verän­de­rungen früh zu erkennen und gezielt gegenzusteuern.

Fazit: Eine gesunde Mundflora schützt mehr als nur Ihre Zähne

Die Mund­flora ist ein kleines Ökosystem, das Tag für Tag Großes leistet. Wenn es in Balance ist, profi­tieren Zähne, Zahn­fleisch und Ihr gesamter Orga­nismus. Mit der rich­tigen Pflege, Ernäh­rung und regel­mä­ßigen Kontrollen können Sie aktiv dazu beitragen, dieses Gleich­ge­wicht zu erhalten.

Sollten Sie erste Anzei­chen einer Entzün­dung bemerken oder eine gezielte Vorsor­ge­un­ter­su­chung wünschen, stehen wir Ihnen in der MKG Hoch­rhein in Dogern jeder­zeit zur Verfü­gung. Verein­baren Sie gerne einen Termin – wir beraten Sie kompe­tent und individuell.

Wartezimmer MKG Hochrhein in Dogern nahe der Schweiz

FAQ zu “Gesunde Mundflora”

Was versteht man unter einer gesunden Mundflora?

Unter Mund­flora versteht man die Gesamt­heit aller Mikro­or­ga­nismen im Mund­raum. Eine gesunde Mund­flora besteht aus vielen nütz­li­chen Bakte­rien, die im Gleich­ge­wicht stehen, den pH-Wert stabi­li­sieren und Zähne sowie Zahn­fleisch vor Krank­heiten schützen.

Woran erkenne ich, dass meine Mundflora gestört ist?

Typi­sche Anzei­chen sind häufiger Mund­ge­ruch, Zahn­fleisch­bluten, Beläge, empfind­liche Zähne, wieder­keh­rende Entzün­dungen oder ein unan­ge­nehmer Geschmack im Mund. Eine profes­sio­nelle Diagnose ist in der MKG Hoch­rhein jeder­zeit möglich.

Wie kann ich meine Mundflora stärken?

Eine gute Mund­hy­giene, eine ausge­wo­gene Ernäh­rung, ausrei­chend Flüs­sig­keit und regel­mä­ßige profes­sio­nelle Zahn­rei­ni­gungen tragen entschei­dend zur Stabi­li­sie­rung der Mund­flora bei. Probio­tika können das Gleich­ge­wicht zusätz­lich unterstützen.

Welche Folgen hat eine unausgewogene Mundflora?

Eine gestörte Mund­flora (Dysbiose) erhöht das Risiko für Karies, Gingi­vitis, Parodon­titis und schlechten Atem. Außerdem kann sie lang­fristig sogar Einfluss auf allge­meine Erkran­kungen wie Diabetes oder Herz-Kreis­lauf-Erkran­kungen nehmen.

Können Stress und Ernährung die Mundflora beeinflussen?

Ja. Stress erhöht unter anderem den Corti­sol­spiegel und kann entzünd­liche Prozesse fördern. Zucker- und kohlen­hy­dratreiche Ernäh­rung liefert schäd­li­chen Bakte­rien opti­male Bedin­gungen. Beides kann das Gleich­ge­wicht der Mund­flora negativ verändern.

Schließen